Dental Labor Kosmetyczna odbudowa cyrkonowo-ceramiczna w odcinku przednim
tech. dent. Bartosz Troczyński

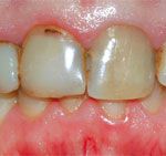
Raz jeszcze powracam do tematu estetyki, ponieważ jest to dzisiaj kryterium ewidentnie najważniejsze dla większości pacjentów i pacjentek. Jestem przekonany, że najlepsze efekty możemy uzyskać w naszej pracy za pomocą rozwiązań pełnoceramicznych. Prace wykonane z naturalnej ceramiki krzemionkowej dadzą nam najlepszy, naturalny efekt, a po adhezyjnym zespoleniu z podłożem zyskają również wystarczającą wytrzymałość.